
Как давно вы проверяли десны?
Отечественные стоматологи приводят очень неприятные для россиян цифры: всего 15 % населения может быть спокойно за свои десны. Остальные 85 %, по статистике, страдают различными заболеваниями пародонта, иногда даже не подозревая об этом. А следы крови на зубной щетке приписывают своему чрезмерному усердию.
Когда проявятся другие признаки: начинают шататься зубы, а жевание превратится в пытку – потребуется гораздо более серьезное и затратное лечение.

Десны лечит пародонтолог
Чтобы выявить проблему на ранней стадии, пока десны еще не начали болеть и кровоточить, а зубы изменять свое положение, стоит раз в полгода наряду с терапевтом посещать узкого специалиста – стоматолога-пародонтолога. Только он в состоянии вовремя поставить верный диагноз, подтвердив наличие пародонтита – воспалительного заболевания тканей, которые окружают зубы и помогают им удержаться в челюстной кости.

Методы лечения
Плазмолифтинг - центрифурирование крови для получения плазмы и введение в десну для ускорения восстановления.
Ультразвук (аппарат Вектор) - за 1 сеанс удаляет зубные отложения над и под деснами.
Лазер - под воздействием направленного света окисляются патологические клетки. Требуется 1-3 сеанса.
Хирургические методы - в запущеных случаях лоскутная операция с комплексной терапией и укреплением остеопластическим материалом.
Консервативные методы - шинирование (фиксация) подвижных зубов, лечебные повязки, орошения и т.п.
Новейшие методики
Ультразвук, лечение лазером, плазмолифтинг.
Умелые специалисты
На странице каждого пародонтолога - дипломы о повышении квалификации в лечении десен.
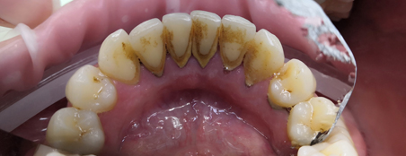
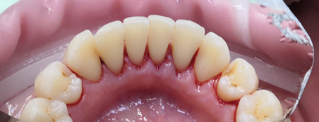
Наши работы
пародонтологов в КосмоСтом
проведено процедур лечения десен лазером
проведено лечений на аппарате Vector
Цены
| Обычная цена, ք | Цена со скидкой, ք | ||
|---|---|---|---|
| Консультация врача-пародонтолога | 500 | ||
| Лечебная повязка в области 1 зуба | 279 | ||
| Лечение пародонта лазером в области 1 зуба | от 1548 | ||
| Обработка пародонта в области 1 зуба ультразвуком на аппарате Vector | от 949 | ||
| Плазмолечение (лифтинг) 1 зоны в области 4-7 зубов | от 2732 | ||
| Диагностика пародонтита на Флорида Проуб все зубы | 3799 |
Подробнее о пародонтологии
Причины заболевания
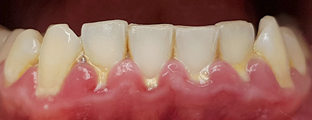
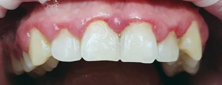
Главная причина поражения десен – недостаточная забота о чистоте полости рта. Правильная паста, зубная нить, регулярная профессиональная чистка зубов у стоматолога – залог здоровья пародонта. Пренебрежение правилами гигиены приводит к тому, что болезнетворные организмы, размножающиеся в зубном налете, для начала вызывают неприятный запах – первый сигнал о том, что со здоровьем зубов и десен что-то не то. Если будущий пациент стоматолога не примет меры и не начнет регулярно чистить и зубы, и десны, болезнь прогрессирует: десны воспалятся и начнут кровоточить. Такое воспаление, или гингивит, легко переходит в следующую стадию –пародонтит, избавиться от которого намного труднее. В результате зуб держится в десне не так прочно и даже может выпасть.
Как происходит разрушение связей между деснами и зубами? При заболеваниях парадонта страдают микроскопические связочные волокна, которые удерживают зуб в челюстной кости. В начале болезни волокна воспаляются, а затем рвутся и безвозвратно погибают. Между зубом и десной появляются патологические зубодесневые карманы, в которых скапливаются бактерии. Процесс развивается медленно, но в одном направлении: все идет к разрушению костной ткани, которая окружает корни зубов. Если даже на этом этапе больной не спохватится, обращаться ему придется в дальнейшем не к пародонтологу, а к протезисту, стоимость услуг которого на порядок выше, чем затраты на лечение десен.
Какие симптомы должны заставить больного насторожиться? Прежде всего, это кровоточивость десен при любых механических движениях, неприятный запах, повышенная чувствительность зуба к раздражителям, боль, появляющаяся при жевании и исчезающая в состоянии покоя. С этими признаками нужно немедленно отправляться к врачу, чтобы пройти диагностику и получить правильное лечение. Покрасневшие или кровоточащие во время чистки зубов десны – верный признак, что к пародонтологу нужно отправляться немедленно. Однако лучше предупредить проблему, помня о статистике: шансы оказаться в числе 85 %, имеющих проблемы с деснами, очень велики.
Ранняя диагностика заболеваний десен в клинике КосмоСтом
После первичного визуального осмотра полости рта врач оценивает общее состояние десен и переходит к более точным методам диагностики. Степень поражения десен оценивается с помощью панорамной рентгенографии. На этом снимке представлены обе челюсти, зубы вместе с корнями. Анализируя снимок, опытный врач сразу найдет места, где идет воспалительный процесс, оценит, соответствует ли норме состояние тканей, окружающих зуб. Исследование помогает определить, насколько поражен пародонт, выявить убыль костной ткани, которая окружает корни зубов. Увидеть незаметные при визуальном осмотре кариозные полости и оценить качество ранее проведённого лечения зубных каналов.
Перед началом лечения делаются цифровые фотоснимки полости рта. Эти съемки регулярно повторяются, чтобы фиксировать изменения в положении зубов. Еще один способ оценить масштаб проблемы – изготовить гипсовые модели челюстей, чтобы пациент мог убедиться в изменении положения зубов и общей запущенности болезни. Кроме того, на такой модели врачу удобнее проводить все необходимые измерения.
Обследование на современном оборудовании – залог быстрого и успешного лечения
Стоматологическая клиника «Космостом» располагает современной компьютерной системой для полномасштабной клинической диагностики парадонта - «Флорида Проуб». Данный комплекс поможет установить глубину пародонтальных карманов у каждого зуба и сравнить их после проведённого лечения, тем самым убедиться в эффективности проведённой терапии. Система автоматически фиксирунт результаты в компьютерной базе данных. Комплекс FloridaProbe, создан одноименной американской компанией, признанной лидером в производстве высокоточного диагностического оборудования со сложным программным обеспечением для стоматологии. На сегодняшний день этот метод диагностики не имеет аналогов по объективности, достоверности и информативности.
По завершении диагностики пародонтолог расскажет пациенту о выявленных проблемах, составит план и график лечения. Объяснит выбранные методы и предложит предварительную финансовую смету. В большинстве случаев, когда симптомы пародонтита уже выражены, пациенту придется приходить на лечение десен несколько раз. В самых запущенных случаях болезнь приобретает хронический характер, и пародонтолог сможет лишь остановить дальнейшее развитие воспалительного процесса и разрушения тканей.
Лечение десен – работа для врачей разных специальностей
Исключительно заботами пародонтолога визит в клинику не ограничится. Терапевт проведет санацию полости рта, ортодонт скорректирует положение зубов, если усилий пародонтолога будет недостаточно. Хирург удалит зуб, если его невозможно спасти, а протезист завершит совместную работу врачей-стоматологов. Лечение десен будет состоять и в подборе индивидуальных средств гигиены, снятии воспаления, шинировании зубов, то есть фиксации нормального положения для подвижных зубов. Эти же специалисты будут курировать пациента после завершения лечения, чтобы избавить его от осложнений и предупредить рецидивы.
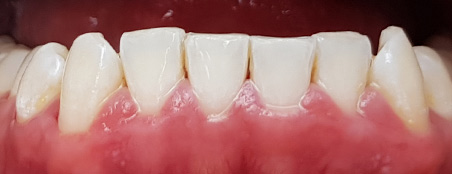
Своевременное лечение десен на ранней и средней стадии пародонтита
Методы лечения зависят от того, насколько запущена болезнь. Вовремя замеченный гингивит лечится сравнительно легко. Пациенту подбирают подходящие средства для ухода за зубами и деснами, объясняют, как правильно ими пользоваться. Врач проводит аппаратную чистку зубов с помощью ультразвукового комплекса «Сателек», произведенного во Франции. Многочисленные насадки избавят зубы от налета совершенно безболезненно благодаря высокой квалификации специалистов клиники. При необходимости, пациентам с низким болевым порогом, будет проведена анестезия. После чистки пародонтолог даст рекомендации по уходу за деснами и зубами.
На ранней стадии пародонтита больному предстоит пройти те же процедуры чистки и борьбы с бактериями. В этом случае так же необходимо применение аппарата для снятия налета, неглубокие зубодесневые карманы промывают сильнодействующими растворами. Обычно болезнь отступает быстро, и, при условии надлежащей гигиены полости рта и регулярного наблюдения у пародонтолога, больше не возвращается.
При заболевании средней степени тяжести затронуты глубокие ткани, процесс разрушения корней зубов и челюстной кости уже запущен. Труднодоступные патологические карманы закрыть гораздо сложнее, тем более что бактерии, размножаясь, постепенно углубляют их. Врач проводит те же манипуляции, что и на легкой стадии пародонтита, но добавляет к ним кюретаж. Обычно применяется местная анестезия, во время действия которой врач удаляет инфицированные ткани и зубные отложения под деснами, отполировывает поверхность корня. Введение гелевых препаратов подавляет развитие болезнетворных микроорганизмов. На этом этапе лечения десен в Омске применяется аппарат «Вектор», разработанный немецкими специалистами для снятия зубных отложений, и американский диодный лазер «Прометей», предназначенный среди прочего для снятия воспаления.
Хирургическое лечение десен при тяжелом поражении
Резкий неприятный запах, повышенная подвижность зубов, их самопроизвольное выпадение, глубокие патологические карманы, выделение гноя – основные симптомы запущенного пародонтита. На этом этапе велика вероятность удаления некоторых зубов. Такой пародонтит окончательно вылечить невозможно, но врачи клиники «Космостом» в состоянии остановить процесс разрушения и стабилизировать состояние десен.
Самая распространенная операция на этой стадии – лоскутная, когда после местной анестезии врач раскрывает корни нескольких зубов (до 8 одновременно) и проводит аппаратную чистку от отложений, удаляет инфицированные ткани, заново формирует контур десны и костной лунки. С помощью остеопластических материалов и тромбоцитарных масс укрепляется кость, в дальнейшем она частично восстанавливается. Такую работу выполняют только профессионалы-виртуозы с большим опытом лечения сложных поражений десен.
Лечение десен в Омске лазером. Лазерная терапия – альтернатива хирургическому лечению
Это направление лечения получило развитие относительно недавно, но оно уже зарекомендовало себя как надежная альтернатива хирургическому вмешательству. Лечение происходит следующим образом: на десны наносят концентрат хлорофилла. Под его воздействием воспаленные клетки вырабатывают фотосенсибилизаторы, чувствительные к воздействию лазера. Только после этого в бой вступает лазер. Направленный на пораженные десны луч лазера вызывает распад фотосенсибилизаторов, при котором выделяется активный кислород. Он окисляет патологические клетки, вызывая гибель бактерий. В завершение процедуры врач удаляет воспаленные ткани и закрывает карман.
В незапущенных случаях достаточно одного сеанса. В сложных – процедуру повторяют до 3 раз с промежутком в одну неделю. Лазер стимулирует формирование пленки, выполняющей роль защитной хирургической повязки. Она препятствует появлению новых бактерий и помогает закрыть карман.
Лечение десен ультразвуком на аппарате «Вектор»
Немецкая система «Вектор» – самый прогрессивный аппарат, применяющийся для лечения заболеваний десен. Перед началом сеанса врач проводит тщательную предварительную обработку зубов и десен. Специальными профессиональными пастами он удаляет мягкий налет на зубах, затем с помощью инструментов – твердые зубные отложения. Освобожденные поверхности сглаживаются, затем десны орошаются антимикробными растворами.
Подготовив больного, врач подключает ультразвуковой аппарат. В процессе лечения ультразвук через наконечник воздействует не на сам зуб, а на окружающую его жидкость, благодаря чему исключается вибрация, которая многих раздражает. Анестезии при таком методе не требуется: пациент не испытывает не только боли, но и просто неприятных ощущений. С помощью «Вектора» удаляются все отложения, даже в труднодоступных поддесневыхучастках, уничтожаются опасные микробы и продукты их жизнедеятельности, промываются карманы и полируются корни.
Твердые ткани зуба во время лечения остаются в полной безопасности, поскольку наконечник к ним не прикасается. Кроме того, в полирующем растворе содержатся частицы гидроксиапатита – минерала, использующегося в стоматологии для укрепления зубной эмали. Ультразвуковое лечение десен в Омске не травмирует десну, она не болит ни во время процедуры, занимающей в среднем около часа, ни по возвращении пациента домой.
Плазмолифтинг: лечение прогрессивными отечественными методами
Принципиально новую методику, успешно внедренную в клинике КосмоСтом, предложили российские ученые. Одновременно со снятием воспаления и укреплением положения зубов плазмолифтинг позволяет восстановить нарушенную вследствие пародонтита жевательную функцию.
Во время процедуры специалист забирает у пациента немного крови, которую в пробирках помещают в центрифугу. Когда она останавливается, для дальнейшего использования забирают отделившуюся плазму, которую вводят в воспаленную часть десны. Таким образомврачи активируют естественные механизмы восстановления поврежденных тканей десны, снижают количество клеток, провоцирующих воспаление. В результате образуется новая соединительная ткань, прорастающая капиллярами, улучшается кровоснабжения и обмен веществ в деснах, повышается местный иммунитет к любым заболеваниям полости рта. Инновационное лечение десен позволяет снять отечность тканей, вернуть естественный цвет десны и ее нормальную форму.
Исследования показали, что процедура плазмолифтинга безопасна, инъекции не токсичны, поскольку препараты готовятся из обогащенной тромбоцитами плазмы, полученной из крови самого пациента, и не содержат посторонних добавок, не вызывают аллергической реакции. Процедура безболезненна, не требует анестезии. Манипуляции занимают совсем немного времени: кровь крутится в центрифуге около 10 минут, примерно столько же времени занимают подготовка к инъекции и сам укол. После первой же процедуры отмечается снижение кровоточивости десен.
Сочетание этого метода с другими способами лечения позволяет добиться стойкой стабилизации положения больного пародонтитом даже в сложной форме. Доставляющий массу неудобств запах изо рта устраняется, снимается риск потерять зуб, восстанавливается в полном объеме жевательная функция. Обычно требуется провести несколько сеансов, чтобы был достигнут стойкий результат.
Командная работа специалистов клиники КосмоСтом - залог успешного результата лечения.
Хорошая командная работа специалистов клиники КосмоСтом обязательно приведёт к успешному результату. Но чтобы его закрепить, избавиться от осложнений и предупредить рецидивы, сохранить на продолжительное время полученный результат понадобиться активное участие самого пациента. Обязательно надо регулярно чистить зубы и посещать специалистов клиники один раз в пол года, с профилактической целью. При необходимости проходить несложные процедуры и выполнять рекомендации врача.





























































