Простой способ преобразить улыбку
Что такое виниры? Это тонкие накладки, которые закрывают внешнюю поверхность и режущий край зубов. Они совершенно незаметны, устанавливаются щадящим методом на живые зубы и позволяют быстро решить целый ряд проблем:
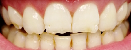
- темный цвет зубов, пятна
- щель между передними зубами
- заметные границы пломб, реставраций, дефект эмали
- сколы, последствия стираемости
Белоснежная улыбка без отбеливания, ровные зубы без брекетов - это возможно!

Инновационные технологии
Прочный. Винир из прессованной керамики или диоксида циркония - цельная, однородная конструкция, в которой нет слабых точек, напряжения в материале. Срок службы при разумной нагрузке - более 10 лет.
Тонкий. Всего 0,3-0,7мм.
Безопасный. Биосовместимый, гипоаллергенный материал, не взаимодействует с десной. Зуб под винир обрабатывается минимально, поверхностно, без депульпирования.
Незаметный. Точно подберем оттенок и прозрачность винира, и эти параметры не изменятся с годами. Циркониевые виниры создаются из многослойного материала, который повторяет естественные переходы оттенков на зубе. Далее техник дополнительно окрашивает каждый винир, чтобы придать ему индивидуальность.
Быстрое преображение. От консультации до установки циркониевого винира пройдет 3-7 дней. Нужно срочно? Тогда за 1 день!

Виниры в КосмоСтом
Только проверенная методика. Мы устанавливаем виниры из керамики eMax (Лихтенштейн) и диоксида циркония Katana (Япония).
Известный результат. Восковое и компьютерное моделирование позволяет заранее представить, как будут смотреться на зубах готовые конструкции и как изменится улыбка.
Единый технологический процесс. Своя зуботехническая лаборатория, передовое оборудование и штат проверенных зубных техников позволяют нам делать виниры в кратчайшие сроки и в полном соответствии с пожеланиями пациента. Мы гарантируем качество установки и надежность самого изделия. Ваша улыбка будет сиять долгие годы!
Как устанавливают виниры
Консультация стоматолога-ортопеда
Врач проведет осмотр, покажет варианты цвета, прозрачности и формы будущего винира. Составит смету с точной ценой и снимет слепок для временной конструкции.
Подготовка
Если необходимо заменить пломбы, это сделает стоматолог-терапевт. Он же удалит зубные отложения.
Обработка зуба
Ортопед покажет модель зубов пациента, где специальным воском будет смоделирована улыбка. Врач уточнит пожелания по размеру и форме изделия. А затем подготовит поверхность зуба под будущий винир.
Снятие слепков
На этом же приеме врач при помощи пластичной массы выполнит точный слепок подготовленных зубов или отсканирует их цифровым сканером. Затем поставит временную конструкцию.
Изготовление
В зуботехнической лаборатории КосмоСтом опытные техники изготовят виниры из фирменной массы eMax Ivoclar или диска многослойного диоксида циркония Katana. Этап занимает всего 1 день.
Установка
Врач зафиксирует винир на зуб с помощью особого стоматологического цемента высокой надежности. Выдаст гарантийный талон на 2 года. Пациент привыкнет к новому виниру в течение 1 дня.
Преимущества
Гарантия 2 года
В случае поломки (трещины, скола или непрочной фиксации) винира в течение 2 лет, мы бесплатно заменим его.
Изготовление 1 день
Если преобразить улыбку нужно срочно, зубные техники КосмоСтом изготовят винир в этот же день.
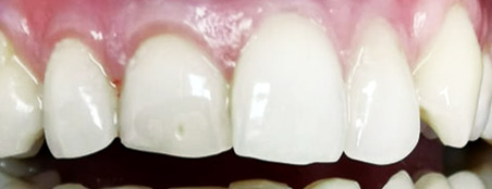
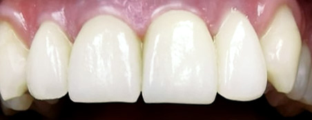
Наши работы
врачей КосмоСтом ставят виниры
винира установлено в КосмоСтом
Среднее число виниров, устанавливаемых 1 пациенту
Цены
| Обычная цена, ք | Цена со скидкой, ք | ||
|---|---|---|---|
| Винир керамический IPS e.Max (Лихтенштейн) | 24879 | ||
| Временный винир из высокоэстетичной пластмассы Re-Fine Bright (Япония) | 1796 | ||
| Винир из многослойного диоксида циркония Katana (Япония) | 24879 | 
							Часто задаваемые
							вопросы
						
						В КосмоСтом благодаря собственной лаборатории все процедуры от первичной консультации до фиксации изделия потребуют 3-4 дня. Если пациенту необходимо подбирать удобное время, например, только по вечерам, срок увеличится.
Эти зубы более всего видны при улыбке, и именно их чаще реставрируют винирами. Но при необходимости можно установить накладки на всю зону улыбки: по пять фронтальных зубов с каждой стороны на верхней и нижней челюсти. На жевательные зубы виниры не ставятся, там подойдут коронки.
Они могут исправить не все аномалии зубного ряда и винирами нельзя восстановить сильно разрушенные зубы, потребуются коронки.
Достаточно обычных гигиенических процедур: щетка и паста 2 раза в день, ополаскиватель и зубная нить или ирригатор, периодическая профессиональная гигиена.
Итоговая цена складывается из следующих пунктов: консультация стоматолога-ортопеда, изготовление винира, установка винира, анестезия, снятие слепков и временный винир. Могут также потребоваться: чистка или отбеливание, лечение зуба, компьютерное моделирование. Если у пациента здоровые зубы, то стоимость красивой улыбки будет невелика.
Рефракторные виниры очень тонкие, они дают максимальную эстетику, эффект сияющих зубов. Но не подходят для зубов с заметными дефектами, потемнениями. Пресс-керамика – более универсальный вариант, классика виниринга. Керамический винир позволяет воссоздавать зубы с самым сложным рисунком эмали, необычными переходами цвета. Но пресс-керамика уступает циркониевым винирам в плотности и эстетике десневого прилегания.
Из циркония винир делают точным цифровым методом. Такие виниры идеально прилегают к зубу в области десны, это обеспечивает долгий срок службы и красивую границу десны и зуба, так называемую розовую эстетику. Винир вытачивают из многослойного диска: его цвет не однородный, а градиентом переходит от светлого у режущего края зуба у более темному у десны. Так винир имитирует естественный зуб. Циркониевые виниры можно изготовить очень быстро: от 1 дня до недели. Конструкция будет прочной и долговечной.
Винир решает вопрос эстетики
Итак, виниры - это тонкие керамические пластины на видимой поверхности зубов. Их устанавливают на фронтальные, то есть передние зубы, в зоне улыбки. Винир поможет и в том случае, когда имеет место незначительное разрушение зуба, скол или трещина эмали.
"Пациенты часто спрашивают у меня, что им выбрать: коронку или винир. Принцип тут простой. Если зуб разрушен сильно - значит, коронка. Если вы хотите изменить форму, цвет, но сам зуб цел или почти цел - тогда вам подойдет винир", - объясняет врач стоматолог-ортопед Овчинников Денис Владимирович.
Виниры, выполненные в клинике КосмоСтом, внешне нельзя отличить от естественного зуба. Тонкая пластинка заходит под десну, и место соединения практически незаметно. В каждом индивидуальном случае врачом при установке виниров подбирается материал под натуральный цвет зубов клиента. На винирах не образуется зубного налета после сигарет и красящих напитков вроде чая или кофе. Кроме того, винир прекрасно защищает зубные ткани от дальнейшего повреждения после ношения брекетов или истончения эмали по каким-либо другим причинам.
Записывайтесь на консультацию, чтобы узнать, подходят ли вам виниры и сколько будет стоить преобразить вашу улыбку!
























 
									 
									 
									 
									









 
																 
																 
																 
																























