Проф. чистка зубов: 3 технологии
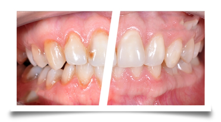
Для здоровья зубов привычного домашнего ухода недостаточно. Зубной камень и налет мало поддаются механической очистке. Оставаясь в полости рта, они становятся источником развития бактерий, неприятного запаха и кариеса.
Профессиональная гигиена - это:
- здоровье десен и зубов, профилактика разрушения зубов;
- осветление зубов;
- отсутствие запаха изо рта;
- обнаружение скрытых проблем под налетом.
Проводить эту процедуру можно и взрослым, и детям, учитывая особенности возраста. Врачи КосмоСтом подберут подходящие технологии профессиональной чистки зубов для вашего индивидуального случая.

УЛЬТРАЗВУКОВАЯ ЧИСТКА
Одним из наиболее эффективных способов профессиональной гигиены является снятие зубных отложений с помощью ультразвука.
Плюсы метода:
- очищение зубов от любых отложений: убирает как мягкий налёт, так и твердый зубной камень, в том числе в труднодоступных поддесневых карманах;
- процедура оказывает лечебное воздействие, подавляет развитие микробов и снижает воспаление десен.
- ультразвук не оказывает механического воздействия на эмаль и не повреждает ее.

Как проходит процедура
Зубной камень и других отложения врач удаляет при помощи специальных аппаратов - ультразвуковых скалеров. С помощью скалера возможно бережно очистить поверхность зуба, добраться в поддесневые карманы и промежутки между зубами. После такой чистки зубная эмаль становится светлее, восстанавливается ее естественный блеск.
На конце ультразвукового скалера расположена металлическая насадка. Она совершает колебательные движения с ультразвуковой частотой и тем самым воздействует на зубной камень, разрушая и счищая его. При этом через насадку обильно подаются вода и антисептические растворы. Они охлаждают поверхность зуба, обеззараживают, удаляют частички зубного камня. При проведении чистки пациент ощущает слабую вибрацию, небольшой дискомфорт может вызвать чистка участков под деснами. Пациентам с повышенной чувствительностью зубов лучше проводить чистку ультразвуком под местной анестезией.
Противопоказания:
- хронические заболевания в тяжелой форме;
- наличие сердечной аритмии;
- гиперчувствительность зубов;
- детский возраст до полной смены зубов на постоянные.
Как часто
Процедуру необходимо проводить регулярно, раз в 6-12 месяцев. Более точные сроки определит врач при осмотре.
Профессиональная чистка зубного камня и налета потребуется чаще, если:
- домашняя чистка зубов проводится нерегулярно или неправильно,
- имеется скученность зубов,
- пациент много курит,
- установлены коронки и имплантаты.
Пациентам с брекетами необходима ультразвуковая чистка каждые 3 месяца.
АIR FLOW (пескоструйная чистка)
Этот метод профессиональной чистки зубов позволяет легко очистить мягкий налет на зубах и восстановить их натуральный цвет, белизну, буквально за полчаса.
Как проходит процедура
Смесь из воздуха, воды и абразива, попадая на зубы мощной струей через особый аппарат. Этот поток сбивает мягкие частицы налета, идеально очищая поверхность зуба, межзубные промежутки и участки под деснами. Благодаря определенной форме гранул оригинального абразива зубная эмаль при такой чистке не повреждается.

Плюсы
- деликатная очистка даже от стойкого налета, вызванного курением, употреблением кофе;
- вы получаете гладкую эмаль, вернувшую свой натуральный цвет;
- состав и форма гранул абразива не повреждает эмаль;
- процедура занимает несколько всего минут;
- профилактика заболеваний зубов и десен.
Противопоказания:
- бронхиальная астма, заболевания легких;
- если у пациента истончена эмаль зуба;
- при аллергии на компоненты, входящие в абразивную смесь.
Нужно помнить, что снимая зубные отложения, наибольшего эффекта при проведении профессиональной чистки зубов, врач стоматолог может добиться, комбинируя несколько способов, а иногда и дополняя вышеперечисленные способы отбеливанием зубов или лечением дёсен лазером, в зависимости от клинической ситуации.
ВАЖНО! Ультразвуковая и пескоструйная чистка зубов должна проводиться только специалистом, на современном оборудовании и с оригинальными расходными материалами, безопасными для зубной эмали.
ЧИСТКА ДЕТЯМ И ПОДРОСТКАМ
Пациентам до 18 лет применяют чистку специальными пастами, которые не травмируют тонкую и очень нежную эмаль детских зубов. Используются проверенные материалы:
- для молочных зубов - Cleanic от компании Kerr (США);
- для постоянных зубов - Detartrine от Septodont (Франция)
Процедура абсолютно безболезнена. Помимо прямого назначения - профилактики кариеса и эстетики улыбки, - профессиональная чистка показывает детям, что у стоматолога на приеме можно не бояться.
Чистка пастами проводится и взрослым - в тех случаях, когда технология air-flow противопоказана.

Рекомендации и уход после процедур
После процедуры необходимо учитывать рекомендации вашего стоматолога:
- применять первое время при ежедневном уходе зубную щетку с мягкой щетиной и зубную пасту для чувствительных зубов,
- не употреблять в пищу продукты, обладающие красящим эффектом,
- отказаться от курения и кофе.
- для снятия воспаления использовать ополаскиватель для рта.
И, конечно, не забывайте про профилактический осмотр у вашего врача стоматолога через полгода. Предупреждать болезни зубов с помощью своевременной регулярной профилактики - это выгоднее и полезнее для здоровья, чем лечить кариес и его осложнения. Стоимость профилактики в расчете на 1 зуб, гораздо ниже, чем цена лечения кариеса и, тем более, пульпита.
Стоимость профессиональной чистки
Узнать цену на удаление зубного налета и зубных отложений (камня) можно в разделе прайса "Чистка и отбеливание" или по телефону +7(3812) 40-45-00. Чистка детям в разделе "Детская стоматология" - "Профилактика".
| Цена, ք | Со скидкой, ք | ||
|---|---|---|---|
| Снятие зубных отложений (чистка) ультразвуком за 1 зуб | 279 | ||
| Снятие зубных отложений (чистка) air-flow вся полость рта | от 3270 | ||
| Проф. гигиена молочных зубов (вся полость рта) | от 1598 |
























