
Виды и симптомы кариеса
- В стадии пятна – едва заметное пятнышко на зубе, часто обнаружить его может только врач.
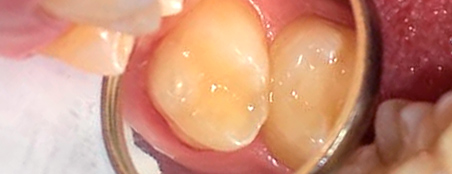
- Поверхностный, начальный – эмаль потемнела, появилась кариозная полость, «дупло». Зуб ноет от сладкого и холодного. Инфекция может перейти на соседние зубы.
- Средний - зуб болит при приеме пищи, появляется запах изо рта.
- Глубокий – кариес охватил почти все слои зуба. Зуб болит даже при надавливании. Еще немного – и пульпит.
Темные или белые пятна, боль или чувствительность зубов, ощущение шероховатости зуба – повод посетить врача!

Щадящие технологии лечения зубов в Омске
Турбинный наконечник с фиброоптикой – если кариес глубокий, придется сверлить. Яркая LED-лампа наконечнике позволяет врачу просвечивать ткани зуба и четче видеть границу области поражения. Здоровые ткани повреждаются меньше.
Коффердам – прорезиненная салфетка изолирует больной зуб. Коффердам защищает от инфицирования соседних зубов, попадания инородных тел в дыхательные пути и от слюны – главной причины выпадения пломб.

Чем пломбируем?
Материалы должны соответствовать 2 главным критериям:
- Надежность, долговечность.
- Максимальная незаметность готовой пломбы.
Фотополимерные пломбы из светоотверждаемого композита восстанавливают серьезные разрушения зубов и выглядят эстетично. Материал наносят и полимеризуют слоями, чтобы пломба стала прочнее и имитировала неоднородную структуру зуба. Производители: Garmonize (США), Estelite (Япония).
Пломбы из стеклоиономерного цемента – доступные по цене, но недолговечные. Используем для временных пломб и для лечения молочных зубов, которым скоро сменяться.
Гарантии до 2 лет
Срок гарантии зависит от степени разрушенности зуба
Опытные врачи
На страницах специалистов можно посмотреть их дипломы и примеры работ: реставраций зуба пломбами.
Наши работы
кариеса зубов вылечено в нашей сети клиник
стоматологов КосмоСтом лечат кариес
пациентам мы вылечили кариес в 2022г.
Цены
| Обычная цена, ք | Цена со скидкой, ք | ||
|---|---|---|---|
| Прием (осмотр; консультация) стоматолога-терапевта | 0 | ||
| Лечение поверхностного кариеса постоянного зуба | от 3500 | ||
| Лечение глубокого кариеса постоянного зуба (+пломба +эстетич. реставрация +шлифовка под прикус) | от 6200 | ||
| Снятие старой постоянной пломбы | 467 | ||
| Анестезия (индивидуальный подбор) | 543 |
Часто задаваемые
вопросы
Детский стоматолог и стоматолог общей практики. Они имеют опыт лечения постоянных, но незрелых подростковых зубов. С 18 лет можно обращаться и к стоматологу-терапевту.
Кариес может возникнуть не только на коронковой части зуба, но и в области соприкосновения с десной. Именно там скапливаются частички пищи и при недостаточной гигиене приводят к появлению темного опоясывающего пятна. Кариес корня возникает ниже, под самой десной, и это самый опасный осложнениями вид кариеса. Как можно скорее обратитесь к врачу, запущенный кариес корня приводит к потере зуба.
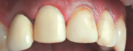
После пломбирования зуба в зоне улыбки проводится художественная реставрация. На ровной поверхности пломбы врач создает рельеф, имитирующий естественную поверхность зуба. Эта процедура входит в стоимость постановки пломбы.
Воспользуйтесь теми же советами, что и для сохранения здоровья зубов. Регулярная чистка (в том числе и профессиональная) и осмотры у врача, укрепление иммунитета, правильное питание, поддержание здоровья ЖКТ в целом.
Этапы лечения кариеса
Диагностика. Стоматолог-терапевт расспросит о симптомах, проведет осмотр, сделает снимки камерой DiagnoCam, при необходимости направит на рентген. Определит глубину поражения дентина и рассчитает стоимость лечения.
Обезболивание и изоляция. Современная анестезия полностью обезболит нужную область. Если боитесь уколов – скажите врачу заранее, он проведет аппликационную анестезию. Далее врач изолирует больной зуб коффердамом, межзубными матрицами.
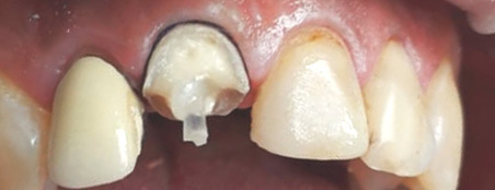
Обработка. Врач удалит пораженные ткани, аккуратно высверлив их турбинным наконечником. Далее он дезинфицирует полость, проведет фторирование дентина, обработает протравливающим гелем, затем адгезивом. Установит изолирующую прокладку, а при глубоком кариесе – лечебную прокладку.
Постановка пломбы. Нужно подобрать оттенок, чтобы будущая пломба была незаметна. Пломбировочный материал жидкотекучий, он медленно заливается в высверленную полость.
Светоотверждение. Врач поэтапно засвечивает пломбу с помощью ультрафиолетовой полимеризационной лампы. Легкие беспроводные модели в КосмоСтом позволяют работать с труднодоступными местами. Врач добавляет пломбировочного материала и снова засвечивает.
Финишная обработка. Убираем излишки пломбы, корректируем ее под прикус, шлифуем, полируем. На передних зубах проводится художественная реставрация. Анестезия мешает понять, удобна ли пломба? Вернитесь к врачу через пару дней, коррекцию проведут по гарантии.










































































